Izpisua manages to counteract arthritis by combining two experimental drugs
The Protein & Cell journal has just published the results of this research, which has yielded very positive results in rats and could be transferred to humans quite easily
The team of researchers led by Dr Izpisua found that the combination of two previously studied drugs counteracts osteoarthritis much better than any of them alone.
Patients with osteoarthritis, or “wear-and-tear” arthritis, have few treatment options: painkillers or joint replacement surgery. This team of researchers has found that a combination of two experimental drugs counteracts the cellular and molecular signs of osteoarthritis in rats, as well as in isolated human cartilage cells. The results have been published in the Protein & Cell journal.
“What is really important is that this therapy could be brought to the clinic quite easily”, says Juan Carlos Izpisua Belmonte, main author of the work and Professor Extraordinary of Developmental Biology at UCAM and director of the Gene Expression Laboratory at Salk Institute in the United States.
Osteoarthritis affects 30 million people and its prevalence is expected to increase in the coming years due to the ageing population and the increasing rate of obesity. This disease is caused by gradual changes in the cartilage that cushions the bones and joints. During ageing and repetitive stress, the cells of the joint cartilage change, which leads to the breakdown of the cartilage and the overgrowth of the underlying bone, causing chronic pain and stiffness.
“We believe this could be a viable treatment for osteoarthritis in humans”, says Dr Pedro Guillén, Director of Cemtro Clinic.
Previous research had identified two molecules, α-KLOTHO and the TGF-beta receptor 2 (TGFβR2) as potential drugs to treat osteoarthritis. α-KLOTHO acts on the molecules that surround the cells of the joint cartilage, preventing the extracellular matrix from deteriorating. TGFβR2 acts more directly on the cartilage cells, stimulating their proliferation and preventing their death. While each drug, separately, moderately counteracted osteoarthritis in animal models, the research team wondered whether the two drugs would act more effectively together.
“We thought that by mixing these two molecules that work in a different way, maybe we could get better results”, says Paloma Martínez-Redondo, first author of the study.
Researchers treated rats with osteoarthritis with viral particles that contained the information for the cells to synthesise αKLOTHO and TGFβR2.
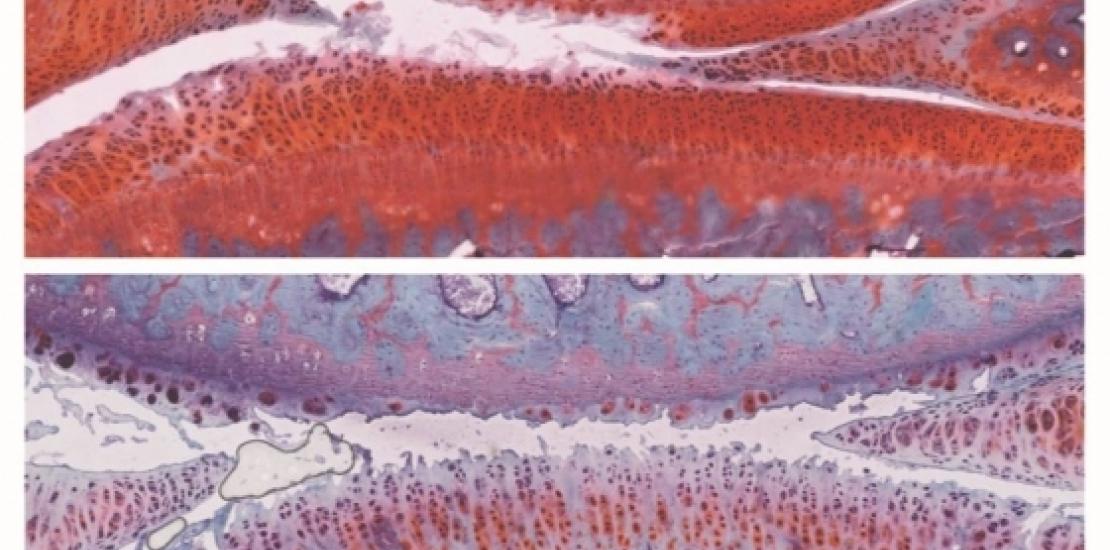
After six weeks, the treated rats showed a recovery: their cartilage was thicker, fewer cells were dying, and they were actively proliferating. The disease improved from stage 2 to stage 1, a mild form of osteoarthritis, and no adverse side effects were observed.

The experiments revealed that, in the cartilage cells of treated rats, 136 genes were more active and 18 were less active in the control rats. Among them, there were genes involved in inflammation and the immune response, which suggests some of the ways combination therapy works.
“From the first time we tried this drug combination we saw a great improvement in the rats”, says study co-author Isabel Guillén.
To check the effectiveness of this drug combination in humans, the researchers treated isolated human articular cartilage cells with αKLOTHO and TGFβR2. The results showed that the levels of molecules involved in cell proliferation, extracellular matrix formation and cartilage cell identity had increased.
“The results obtained with cells in the laboratory indicate that this treatment can work in patients. Collaboration between basic and clinical researchers, as in this case, is fundamental in order to achieve this”, points out Estrella Núñez, Vice-chancellor for Research at UCAM and co-author of this article.
The research team plans to further develop the treatment, including studying whether αKLOTHO and TGFβR2 can be directly ingested, rather than administered via viral particles into the joint. They will also study whether this drug combination prevents the onset of osteoarthritis before symptoms develop.
Other authors were Chao Wang, Javier Prieto, Masakazu Kurita, Fumiyuki Hatanaka, Cuiqing Zhong, Reyna Hernández-Benítez, Tomoaki Hishida, Takashi Lezaki, Akihisa Sakamoto, Amy Nemeth, Yuriko Hishida, Concepción Rodríguez Esteban, Kensaku Shojima, Pradeep Reddy, Huang and Maxim Shokhirev from Salk; Noah Davidson and George Church from Harvard University; Estrella Núñez-Delicado from UCAM Universidad Católica San Antonio de Murcia; Josep Campistol from the Clinical Hospital of Barcelona; Isabel Guillén-Vicente, Elena Rodríguez-Iñigo, Juan Manuel López-Alcorocho, Marta Guillén-Vicente and Pedro Guillén from Cemtro Clinic, Madrid and Guang-Hui Liu from the Chinese Academy of Sciences.
Further information:
Protein & Cell
αKLOTHO and sTGFβR2 treatment counteract the osteoarthritic phenotype developed in a rat model
